
Modern Perspectives on Treating Celiac Artery Aneurysms
The field of vascular surgery has seen remarkable progress over recent years, and few areas illustrate this advancement better than the successful minimally invasive treatment of ruptured celiac artery aneurysms. This opinion editorial offers an in-depth discussion of the current state of affairs, drawing upon a recently reported case and broader scientific insights. Here, we aim to explore the procedure’s background, challenges, and the opportunities that lie ahead for surgeons and patients alike.
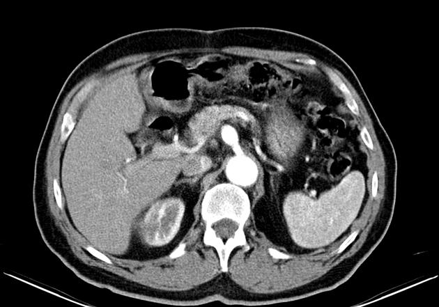
At the core of this discussion is a poignant case report detailing the treatment of a patient with a ruptured celiac artery aneurysm. Despite representing one of the rarer types of visceral artery aneurysms, the risk of rupture—ranging between 10% and 20% in the literature—is a scary reminder of the many twisted issues that surgeons need to resolve in high-pressure situations.
Understanding Celiac Artery Aneurysms and Their Clinical Implications
Celiac artery aneurysms (CAA) stand out as particularly challenging vascular conditions. Their occurrence may be uncommon, but the implications of complications are full of problems that are often deadly if not treated promptly. Recognizing these aneurysms early, although sometimes difficult, is critical in reducing the life-threatening risks associated with rupture.
What Exactly Is a Celiac Artery Aneurysm?
A celiac artery aneurysm involves a localized ballooning or bulging in the wall of the celiac artery, a key blood vessel supplying oxygenated blood to the upper abdominal organs. Patients may remain asymptomatic for long periods, with diagnosis often occurring when the aneurysm has already ruptured. Given the subtle symptoms and the hidden complexities of the condition, early detection remains a significant challenge.
Key Clinical Statistics and Observations
Scientific observations have identified that although CAAs are the fourth most common among visceral artery aneurysms, the risk of rupture is not negligible. With rupture figures reported between 10% and 20%, the complications are intimidating due to their potential for massive internal bleeding and subsequent multiple organ failure. This underscores the pressing need for both early diagnosis and effective treatment strategies.
To clarify these points, consider the following list outlining the major concerns:
- Delayed diagnosis due to non-specific symptoms
- Rupture risk leading to life-threatening bleeding
- Complications arising from the ruptured aneurysm
- Need for innovative and less invasive treatment methods
Minimally Invasive Endovascular Techniques: A Changing Landscape
Minimally invasive techniques have fundamentally shifted the approach to vascular surgery, with endovascular procedures taking center stage. The case report in question details the successful use of an endovascular stent graft to treat a ruptured CAA, reflecting a growing trend towards procedures that reduce recovery times and complications.
Advantages of Endovascular Procedures
Endovascular surgery brings numerous advantages in treating challenging vascular conditions. Rather than involving large incisions and extensive recovery periods, these techniques allow surgeons to find their way through the tangled issues of the patient’s anatomy using targeted interventions. Some key benefits include:
- Reduced Recovery Time: Patients can often leave the hospital sooner due to the minimally invasive nature of the procedure.
- Lower Risk of Infection: With smaller incisions, the risk of post-operative infection is significantly decreased.
- Decreased Blood Loss: The use of precision instruments minimizes blood loss during surgery.
- Improved Patient Comfort: Less physical trauma to the body translates to less postoperative discomfort.
The success in treating the patient with a ruptured CAA using this method not only highlights its therapeutic promise but also prompts the medical community to dig into further refining and expanding these techniques. The approach reflects a shift towards procedures that focus on the fine points of surgical intervention while preserving overall patient health.
Addressing the Tricky Parts of the Procedure
While the benefits are clear, the execution of endovascular techniques is not without its own set of tricky parts. The procedure requires precision, skill, and an intimate understanding of vascular anatomy. Some of the complicated pieces surgeons contend with include:
- Accessing the Vessel Safely: Guiding catheters and stent grafts through narrow and sometimes tortuous arteries demands expertise.
- Deploying the Stent Graft Correctly: The fine details involved in positioning and releasing the stent graft require meticulous care, as slight misalignments can have significant consequences.
- Managing Underlying Conditions: Patients with CAAs often have multiple comorbidities, making the preoperative and postoperative management a nerve-racking sequence of decisions.
These challenges are balanced by the potential benefits of avoiding open surgery, underscoring the importance of continuing education, simulation training, and interdisciplinary collaboration among vascular specialists.
Comparing Endovascular and Open Surgical Approaches
The decision-making process when treating a ruptured celiac artery aneurysm involves weighing the benefits and disadvantages of endovascular versus open surgical approaches. Each pathway brings its own set of twists and turns, and understanding these differences can help both clinicians and patients make informed decisions.
A Comparative Table of Surgical Options
| Aspect | Endovascular Approach | Open Surgical Repair |
|---|---|---|
| Invasiveness | Minimally invasive; small incision | Highly invasive; large incision necessary |
| Recovery Time | Shorter hospital stay and quicker recovery | Longer hospital stay and recovery period |
| Risks and Complications | Reduced risk of infection and blood loss | Higher risk of postoperative complications |
| Technical Demand | Requires advanced imaging and catheter skills | Requires extensive surgical exposure and reconstruction |
This comparison illustrates why many in the field are increasingly supportive of endovascular techniques, especially for high-risk patients where every puzzle piece of surgical risk must be carefully considered.
Benefits of a Tailored Approach Based on Patient Needs
It is critical to evaluate each case individually; what is key for one patient may not be as essential for another. Management tailored to the unique physiological and psychological needs of the patient ensures that the best therapeutic route is chosen. Surgeons need to figure a path that balances the urgency of intervention with the overarching goal of preserving long-term health.
Factors affecting this tailored approach might include:
- Age and overall health
- Existing comorbid conditions
- Specific anatomical challenges
- The urgency of the rupture scenario
Examining the Scientific Evidence and Statistical Trends
To fully grasp the current landscape of treatment for celiac artery aneurysms, it is essential to dive in and examine the scientific evidence that underpins modern practice. Recent studies have compiled data on treatment outcomes, complication rates, and overall patient survival, all of which add valuable context to the case report at hand.
Key Scientific Findings on CAA Management
Existing literature offers several important observations:
- Rupture Risk: Studies consistently indicate that CAAs carry a 10% to 20% risk of rupture, marking them as critical conditions despite their relative rarity.
- Advancements in Endovascular Techniques: The introduction of stent grafts and improved imaging methods has led to increased success rates in minimally invasive repairs.
- Comparative Outcomes: Data often show that patients undergoing endovascular repair generally experience fewer postoperative complications and a faster recovery time compared to traditional open surgery.
The importance of these outcomes cannot be overstated. They represent a shift in surgical philosophy—from merely addressing the immediate problem to proactively working through the broader, subtle details of patient health, ensuring that the chosen intervention not only saves lives in the short term but also improves long-term quality of life.
An In-Depth Look at Treatment Outcomes
Multiple studies highlight that minimally invasive methods result in:
- Reduced mortality rates compared to more invasive surgical techniques
- Lower incidence of postoperative complications such as infections and bleeding
- Enhanced patient satisfaction due to shorter recovery times and less physical trauma
Collectively, these trends are encouraging and pave the way for further exploration and refinement of such methods. As surgeons continue to explore the fine shades of each procedure, ongoing research and the exchange of case studies like the one under discussion remain essential.
Interdisciplinary Collaboration and Training in Vascular Surgery
The continuous progress in minimally invasive procedures is not made in isolation. It is, in fact, a demonstration of effective interdisciplinary collaboration among experts in vascular surgery, radiology, critical care, and other related fields.
Importance of Multi-Disciplinary Teams
The successful treatment of complex conditions like ruptured CAAs often relies on teams that bring together diverse areas of specialty. Understanding the little twists of each case is a team effort, combining the following skills:
- Surgical Expertise: The surgeons’ ability to take a closer look at the patient’s unique anatomical structure and perform the intervention accurately.
- Imaging and Radiology: Advanced imaging specialists provide the critical guidance needed to steer through the patient’s vascular network.
- Anesthesia and Critical Care: These teams ensure that the patient remains stable during complex procedures.
- Postoperative Care: Collaboration with nursing and rehabilitation services aids in a smooth and speedy recovery.
Such collaboration is super important because it ensures that every patient receives a well-rounded treatment plan that addresses both immediate risks and long-term recovery challenges. The integration of surgical and non-surgical teams fosters an environment where the best practices are continuously shared, refined, and implemented.
Training and Simulation: Sharpening the Skills for Future Challenges
In order to meet the challenging bits of evolving vascular procedures, training and simulation have become indispensable. Several key strategies are utilized to prepare surgeons for the nerve-racking reality of operating in high-risk conditions:
- Simulation Labs: These labs allow surgical teams to practice the endovascular techniques in a controlled environment, where errors can be learned from without impacting real patient outcomes.
- Workshops and Conferences: Regular professional gatherings serve as a platform to share experience and update procedural protocols.
- Mentorship Programs: Experienced surgeons guide newer practitioners, ensuring that the fine points and subtle parts of each technique are properly understood.
- Continuous Education: Ongoing studies and training help professionals keep up with the latest advancements and overcome potential pitfalls in their practice.
These training initiatives not only enhance surgical proficiency, but also build a community of professionals who are equipped to get into the nitty-gritty of even the most complicated procedures.
The Road Ahead: Future Directions in Vascular and Minimally Invasive Surgery
While current successes, such as the case report of the ruptured CAA management, highlight significant progress, there remains a long journey ahead. Future directions in vascular surgery are focused on further improving patient outcomes, refining minimally invasive techniques, and incorporating advanced technologies that allow for even greater precision.
Advancements in Device Technology
The development of improved stent grafts and other endovascular tools is another promising area. Upcoming innovations aim to address several of the challenging bits inherent in current procedures, such as:
- Enhanced Flexibility: Future stent grafts may offer greater maneuverability, allowing surgeons to figure a path through even the most tortuous vascular pathways.
- Customized Design: With advancements in 3D printing and imaging, customized grafts tailored to a patient’s specific anatomy are becoming a possibility.
- Integrated Imaging Systems: Real-time imaging during surgery can further reduce risky moments by providing live feedback on device placement.
These device-centric improvements are expected to lower complication rates even further and could soon set new standards in the treatment of other similarly complex vascular conditions.
The Role of Artificial Intelligence and Big Data
Artificial intelligence (AI) and big data are beginning to play a substantial role in modern medicine, and vascular surgery is no exception. By processing vast amounts of patient data and surgical outcomes, AI can help identify the subtle details and small distinctions that might affect treatment plans.
Potential applications include:
- Predictive Analytics: Using data to forecast the likelihood of aneurysm rupture and tailor individualized treatment plans.
- Image Analysis: AI-powered tools can enhance image quality and assist in the precise deployment of endovascular devices.
- Postoperative Monitoring: Monitoring patient recovery through data-driven insights can help catch complications early, ensuring timely intervention.
This integration of technology and medicine has the potential to transform treatment paradigms, providing super important support to surgeons as they work through the challenging parts of their craft.
Patient-Centered Perspectives and the Impact on Quality of Life
Beyond surgical technique and innovative devices, at the heart of every surgical breakthrough lies the well-being of the patient. The shift toward minimally invasive procedures has not only improved clinical outcomes—it has also enhanced the overall quality of life for those undergoing treatment.
Improved Recovery and Patient Comfort
The contrast between open surgical repair and endovascular approaches is most evident when it comes to patient recovery. The less invasive nature of endovascular repair often means:
- Less overall pain and discomfort post-procedure
- A shorter duration of hospital stay, allowing faster return to daily activities
- Fewer lifestyle disruptions, meaning patients can resume work and personal commitments more quickly
This paradigm shift is essential in modern healthcare, where the goal is not just to save lives but also to preserve the quality of those lives. Patients, by avoiding large incisions and prolonged healing times, often experience less physical and emotional strain—a benefit that is key in re-evaluating risk versus reward in treatment plans.
Empowering Patients Through Education
Another super important element in the modern treatment landscape is educating patients about their condition and treatment options. When patients understand the little details and subtle parts of their diagnosis, they are in a better position to take charge of their health and recovery.
Areas of focus include:
- Understanding the Condition: Explaining what a celiac artery aneurysm is and how it could affect overall health.
- Exploring Treatment Options: Detailing the differences between endovascular and open surgical repairs, along with benefits and potential risks.
- Postoperative Care: Providing clear guidance on recovery expectations and follow-up care, ensuring that patients know what to expect as they heal.
By lowering the barriers of medical jargon and turning complicated pieces into plain language, healthcare providers can better support patients through every twist and turn of their treatment journey.
Looking Back and Forward: A Reflective Conclusion
The successful minimally invasive treatment of a ruptured celiac artery aneurysm is a timely example of how far vascular surgery has come. The evolution from traditional open surgery to refined endovascular procedures marks a significant milestone—a testament to technological progress, improved training, and the unwavering commitment to patient-centered care.
Although challenges remain, the future appears bright for advancements that can mitigate the nerve-racking aspects of complex surgery. With interdisciplinary teamwork, continuous professional development, and an increased reliance on precision-guided techniques, the medical community is poised to manage even the most intimidating cases with confidence and finesse.
In reviewing the current literature, clinical statistics, and the case report at hand, it is evident that the journey from diagnosis to recovery for patients with CAAs is transforming. Today’s clinicians continue to dive in and address the fine points of their craft—balancing the need for urgent intervention with the long-term well-being of their patients.
Future research and further case studies will undoubtedly enrich the conversation surrounding minimally invasive techniques. Embracing technological innovations such as artificial intelligence and personalized medical devices will likely pave the way for even more successful interventions. As healthcare providers explore these new avenues, it is crucial to maintain a holistic view—one that integrates patient education, interdisciplinary cooperation, and continuous innovation.
Key Takeaways for the Medical Community
To summarize the discussion, consider the following bullet points that capture the essence of the contemporary approach to treating CAAs:
- Early Detection Is Crucial: Due to the tricky parts of asymptomatic progression and the high risk of rupture.
- Minimally Invasive Techniques Offer Significant Benefits: Including shorter hospital stays, reduced blood loss, and less postoperative discomfort.
- Interdisciplinary Collaboration Enhances Outcomes: Combining the expertise of various specialists leads to better management of complex cases.
- Ongoing Training and Simulation Are Imperative: To ensure that surgeons are well-prepared for the nerve-racking moments in the operating room.
- Technological Advances Play a Critical Role: With the advent of AI and personalized devices, the future holds immense promise for even better patient outcomes.
From the surgeon’s perspective, the ability to make informed decisions—supported by data, training, and a holistic understanding of patient needs—allows for a more tailored and effective treatment strategy. As the field continues to evolve, the ultimate goal remains clear: to ensure that every patient receives a treatment that is not only life-saving but also conducive to a high quality of life once recovery is complete.
Final Thoughts
In conclusion, the successful treatment of a ruptured celiac artery aneurysm using a minimally invasive endovascular approach is more than just a clinical milestone—it is a symbol of modern medicine’s capacity to overcome even the most intimidating challenges. By connecting research insights, technical innovations, and patient-centered care, the healthcare community is charting a course that promises improved outcomes and brighter futures.
As we reflect on both the accomplishments and the ongoing challenges, the message is clear: continuing to work through the complicated pieces with ingenuity and compassion is essential. The journey ahead may be full of twists and turns, but with each new development, we get closer to ensuring that every patient’s story ends on a hopeful note.
Ultimately, the story of minimally invasive treatment for complex vascular conditions such as celiac artery aneurysms is a powerful reminder of the progress that can be achieved when science, technology, and compassionate care intersect. The dialogue among clinicians, researchers, and patients is more important than ever. Together, these efforts forge a path toward a future where even the most challenging cases can be met with innovative solutions that save lives and improve the everyday lives of countless individuals.
Originally Post From https://www.frontiersin.org/journals/surgery/articles/10.3389/fsurg.2025.1602499/abstract
Read more about this topic at
The Current Era of Endovascular Aortic Interventions and …
Innovations in Endovascular Aneurysm Repair


