December 2025
Monthly Archives
More stories
-
Hot
16 Views
Pioneering Innovation in Alzheimer Care in 2025 Five Breakthrough Advances Shaping The Future
Reflections on the Impact of GDPR on Accessing Healthcare Information In today’s digital age, where information is only a click away, encountering a message like “451: Unavailable due to legal reasons” can feel both confusing and intimidating. Many websites, particularly those that offer healthcare and legal insights, have started to display similar messages when users […] More
-
Hot
Unlocking the Secrets of Vascular Endothelial Growth Factor in Health and Disease
The Essential Role of VEGF Signaling in Health and Disease Vascular Endothelial Growth Factor (VEGF) signaling is a key pathway in our bodies that regulates important processes like blood vessel formation, wound healing, and even the maintenance of the tissue environment. As we get deeper into the topic, the role of VEGF may look intimidating […] More
-
Hot
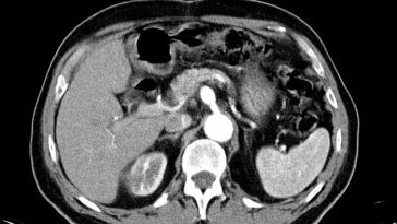
Breakthrough Lifesaving Intervention for Ruptured Celiac Artery Aneurysm
Modern Perspectives on Treating Celiac Artery Aneurysms The field of vascular surgery has seen remarkable progress over recent years, and few areas illustrate this advancement better than the successful minimally invasive treatment of ruptured celiac artery aneurysms. This opinion editorial offers an in-depth discussion of the current state of affairs, drawing upon a recently reported […] More
-
Hot
Provider Network Holdings Elevates Keith Crawford To President Heralding A New Era Of Leadership
The Evolving Landscape of Healthcare: Bridging Modern Medicine and Alternative Approaches The world of healthcare is changing rapidly. As we grapple with the tricky parts of modern medicine, alternative therapies, and nutritional science, it’s clear that an integrated approach can offer a more well-rounded answer to our health challenges. This opinion editorial explores how we […] More
-
Nurse Practitioners Lead the Way in Elder Care When Geriatricians are Scarce
The Changing Landscape of Geriatric Care The current environment in American healthcare is witnessing a transformative moment as nurse practitioners become more central to providing care for older adults. In a world where the tricky parts of aging are increasing and where the traditional pool of geriatricians is shrinking, nurse practitioners are stepping up to […] More
-
Uncovering the Promising Landscape of the Global Empty IV Bags Market Future Trends and Opportunities
Opinion Editorial: The Intersection of Digital Privacy and Healthcare Market Trends In today’s digital age, healthcare is not only transforming in the realms of medicine, nutrition, and fitness but also in how technology interacts with patient care and industry operations. One of the most talked-about topics in our modern healthcare landscape is digital privacy—from cookie […] More
-
Rapid Vascular Organoids Drive Tissue Engineering Breakthroughs
Importance of Digital Verification in Online Healthcare Platforms In today’s fast-evolving digital world, online healthcare has seen a revolutionary shift not only in the way patients access care but also in how sensitive information is secured. One of the key aspects in ensuring the safety of healthcare data is the use of digital verification, which […] More
-
Hot
Pioneering Improved Vision Treatment With Suprachoroidal Corticosteroid Implants
Suprachoroidal Implants: A Novel Approach in Macular Edema Treatment In recent years, the field of ophthalmology has seen exciting shifts in the management of cystoid macular edema (CME). As we continue to get into the fine points of modern treatment options, suprachoroidal corticosteroid implants have emerged as a promising alternative for patients with tricky parts […] More









